Sitemize üye olarak beğendiğiniz içerikleri favorilerinize ekleyebilir, kendi ürettiğiniz ya da internet üzerinde beğendiğiniz içerikleri sitemizin ziyaretçilerine içerik gönder seçeneği ile sunabilirsiniz.
Zaten bir üyeliğiniz mevcut mu ? Giriş yapın
Sitemize üye olarak beğendiğiniz içerikleri favorilerinize ekleyebilir, kendi ürettiğiniz ya da internet üzerinde beğendiğiniz içerikleri sitemizin ziyaretçilerine içerik gönder seçeneği ile sunabilirsiniz.
Üyelerimize Özel Tüm Opsiyonlardan Kayıt Olarak Faydalanabilirsiniz
Brawl Stars oyunundaki gizli tehlike! Çocuklarınızın telefonundan silin
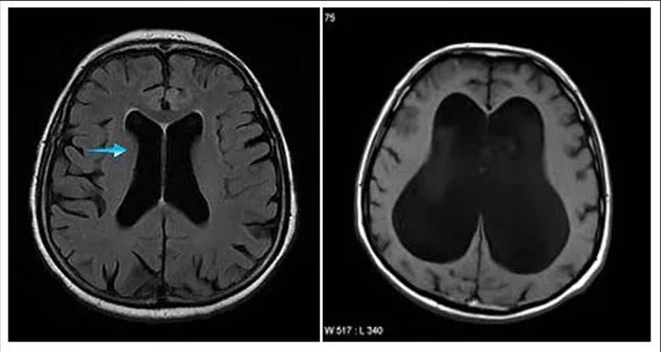
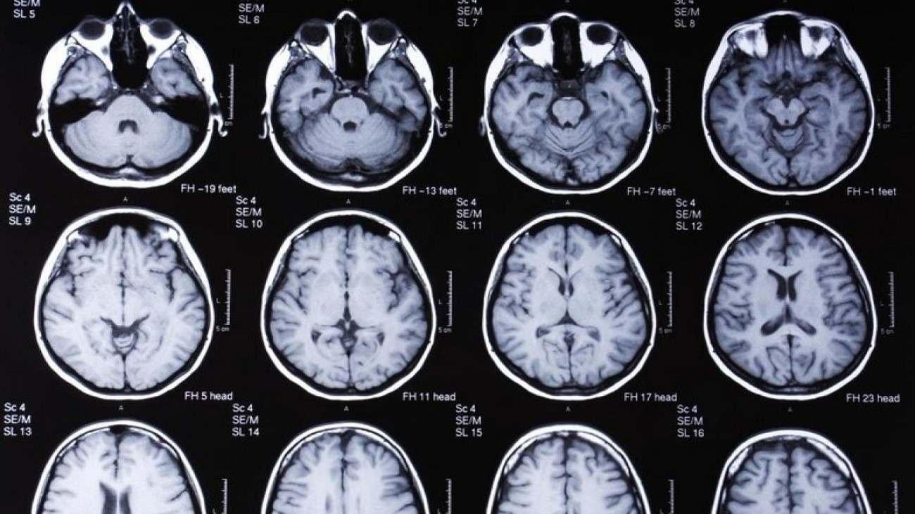
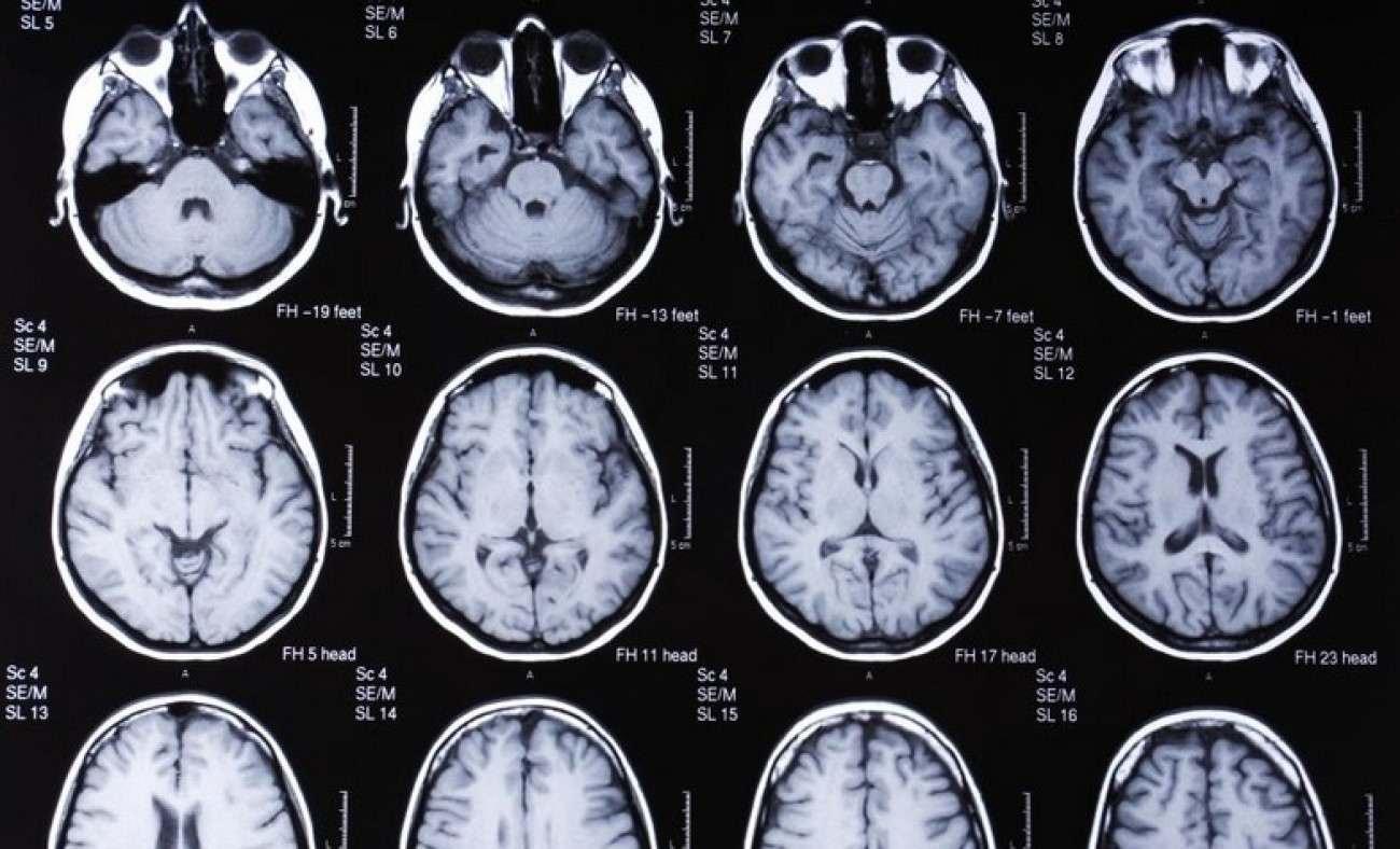
Fransa’da bacağında ortaya çıkan ağrı ve güçsüzlük şikayetiyle hastaneye başvuran adamın, yapılan tetkikler sonucunda beyninin yarısından fazlasının olmadığı ortaya çıktı.
Fransa’da kimliği açıklanmayan bir adam, bacağında ortaya çıkan ağrı ve güç kaybı şikayetleri ile hastaneye başvurdu. Şikayetlerinin iki haftadır devam ettiğini belirten adam tabipler tarafından muayene edildi. Yapılan testler ve hekimlerin muayenesi sonucunda 44 yaşındaki adamın beyninin yarısından fazlasının olmadığı ve ömrünü bu biçimde sürdürdüğü ortaya çıktı.

BİR SORUN OLMADIĞINDAN EMİN OLMAK İSTEDİ
Hissettiği ağrıların çok hafif seviyede olduğunu ve bir sorun olmadığından emin olmak için hastaneye gittiğini belirten adam, tıp tarihinde nadir rastlanan bir hadise olarak kayıtlara geçti. 44 yaşındaki adama, daha evvel hekimler tarafından “hidrosefali” teşhisi konduğu belirtildi.
HİDROSEFALİ NEDİR?

Hidrosefali, beyinde ve omurilikte üretilerek beyni dış tesirlerden müdafaaya yardımcı olan beyin omurilik sıvısının (BOS), beyindeki boşluklarda birikmesi ve baş içindeki basıncı artırması durumudur. Beyin omurilik sıvısı, bulunması gerekenden daha fazla olduğunda beyin dokularına ziyan verir, kafatasının fizikî yapısını bozar ve beyin işlevlerinde kalıcı bozulmalara neden olabilir.
“NORMAL BEŞERLER GİBİYDİ”
Konuyla ilgili açıklama yapan bilişsel psikolog Axel Cleeremans, “Normal bir hayat yaşıyordu. Bir ailesi vardı ve olağan beşerler üzere çalışıyordu. Şikayeti sırasında IQ’su test edildi. Bu, olağan aralığın biraz altında olan 84 çıktı. Beyin taraması yapılınca ise gerçek ortaya çıktı” sözlerini kullandı.

30 YILDA BEYNİNİN YARISINDAN FAZLASINI KAYBETTİ
Bebeklik devrinde kendisine “hidrosefali” teşhisi konulan adam, kafatasına stent takıldığını ve 14 yaşındayken geri çıkarıldığını belirtti. Doktorlar, adamın hastalığından ötürü beyninde sıvı biriktiğini ve bu nedenle 30 yılda beyninin yavaş yavaş tahrip olduğunu düşünüyorlar.
Yorum Yaz